なみき通り歯科 院長
安藤 壮吾先生
朝日大学歯学部を卒業後、愛知学院大学歯学部附属病院で研鑽を積み、2013年になみき通り歯科を開業。技術・設備・コミュニケーションのすべてに妥協しない姿勢を貫き、「すべてを兼ね備えた唯一の歯科医院をつくり上げる」を理念に、予防歯科を中心とした継続的な口腔管理でQOL向上を目指している。日本歯周病学会認定歯周病専門医として高度な治療に取り組み、スタッフとともにプロ意識を持ったチーム医療を実践している。
審美歯科を名古屋で探している方の中には、ガミースマイル治療をはじめ、セラミック治療や歯並びの矯正など、口元の印象を整える治療に興味を持っている方もいるのではないでしょうか。
笑ったときの歯や歯ぐきの見え方、前歯の形や色など、気になり始めるきっかけは人それぞれです。
口元の悩みはとてもデリケートなため、周囲の方には相談しづらいという方も多く、「どの治療が自分に合っているのか」「そもそも見た目だけの問題なのか」と迷ったまま情報収集を続けてしまうケースも少なくありません。
治療名から調べてみたものの、選択肢が多く、かえって判断が難しくなってしまうこともあるようです。
名古屋市にある「なみき通り歯科」では、審美治療を“その場限りの見た目の変化”で終わらせるのではなく、長期的な口元の健康まで見据えた診療を重視しています。
本記事では、院長の安藤 壮吾(あんどう しょうご)先生に、審美歯科治療を検討するうえで知っておきたい考え方とともに、同院が大切にしている診療スタンスを紐解いていきます。
INDEX
審美歯科を探す人が増えている理由とは?

「歯をきれいにしたい」「口元の印象を変えたい」と考えたとき、思い浮かぶのが審美歯科(しんびしか)という選択肢。その背景には、見た目の悩みだけでなく、日常の価値観や情報環境の変化も関係しているようです。
審美歯科を検討する方の主な悩み
「なみき通り歯科」に寄せられる相談で多いものの1つに、上の前歯の見え方や歯ぐきの露出、笑ったときの印象に関する悩みがあります。「笑ったときに気になる」「話すときに思わず口元を隠してしまう」などがあり、日常生活に影響が出てくるケースもあります。
中でも、笑顔になったときに上の歯ぐきが大きく見えてしまうガミースマイルをコンプレックスに感じる方が多いようです。
またガミースマイルは単に「歯ぐきが目立つ」という見た目の問題だけでなく、歯・歯ぐき・骨格・口腔機能など複数の要素が関係しているケースも少なくありません。
SNSなどで理想的な口元を見る機会が増え、「自分もこうなりたい」という意識が高まっているのかもしれませんね。
単に治療名で決めると失敗しやすい?審美治療の本質
審美歯科には、ガミースマイル治療・セラミック治療・矯正治療など、さまざまな選択肢があります。しかし、「この治療をすれば解決する」という万能な方法はありません。
本当に大切なのは、「なぜ口元が気になっているのか」「どのような口元を目指しているのか」「見た目だけでなく、咬み合わせや歯磨きのしやすさに問題はないか」といった、悩みの本質を見極めることです。
そのため、「なみき通り歯科」では、患者の審美的なご希望を丁寧に伺うのはもちろん、咬み合わせや清掃性、お口全体の健康状態までをトータルで確認し、一人ひとりに合わせた治療方針を提案しています。
まず知っておきたい口元を美しく見せる要素とは?
自然で美しい口元は、単に歯が白いかどうかだけでは決まりません。笑顔になったときの唇のライン(スマイルライン)や歯並びの調和、歯ぐきの見え方、顔全体のバランスなど、さまざまな要素が調和することで自然で美しい印象が生まれます。
一方で、美しい口元を長く保つためには、見た目だけでなく、虫歯や歯周病のリスクなどの見えない部分への配慮も欠かせません。
同院では、こうした見た目と健康の両面を踏まえたうえで治療計画を立て、その内容をデジタルで“見える化”しながら説明することで、患者自身が「どこを、どの程度整えるのか」を理解しやすい環境を整えています。
“あなたに合う治療”が知りたいなら!
名古屋・なみき通り歯科の予約はこちら
治療の精度と見通しを高める!デジタル技術による可視化を取り入れた審美治療

審美治療は、仕上がりのイメージをどれだけ正確に共有できるかが重要です。「なみき通り歯科」では、デジタル設備を活用することで、治療前後の変化や見通しを可視化し、納得感を持って治療を進められる体制を整えています。
最短・効率化を叶える精密なデジタル診断

口腔内スキャナーやCT、フェイススキャンなどを用いた診断により、歯や骨格の状態を立体的に把握できるのが特徴です。視覚的なデータをもとに説明を受けることで、「なぜこの治療が必要なのか」「どこにリスクがあるのか」を理解しやすくなります。
ご自身の口の中がどうなっているのかを客観的に把握できるので、治療へのモチベーションも高まる方が多いですね。
セラミックや矯正、ガミースマイル治療をより自然に仕上げるデジタル技術
前歯のセラミック治療では、形や色だけでなく、角度や咬み合わせまで細かく調整する必要があります。デジタル技術を活用することで、こうした要素を事前にシミュレーションしやすくなり、完成後の仕上がりイメージとのギャップを抑えることが可能になります。
ガミースマイル治療においても、術後の口元の変化を事前に確認しながら治療計画を立てられることは、患者にとって大きな安心材料となるでしょう。


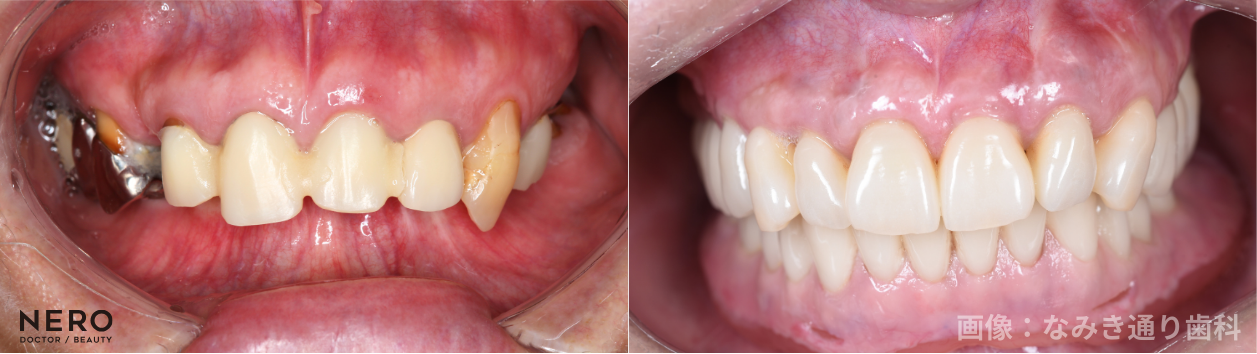
施術名:審美補綴(ほてつ)を用いた歯冠長延長術
写真の説明: 左:施術前 右:施術後
費用:150,000~200,000円
副作用・リスク:一時的な知覚過敏など
こちらは笑ったときに歯ぐきの露出が気になるガミースマイルに対し、歯ぐきのバランスを整える処置と審美補綴*を組み合わせて治療を行った症例です。
治療前にデジタルシミュレーションを行い、歯と歯ぐきの見え方、口元全体の印象を事前に確認しながら治療計画を立案。その結果、歯の形・長さ・歯ぐきのラインが調和した、自然な口元に仕上がりました。
※写真はすべて患者さまの同意のもと掲載しています。
*審美補綴(しんびほてつ)……歯が欠けたり失ったりした場合に、機能を回復するだけでなく、セラミックなどを使って天然歯に近い形状や色合いなど「美しさ」にも着目した治療のこと
「なみき通り歯科」が重視しているのは、過度に整えすぎない、その人らしい口元。顔立ちや表情の動きまで考慮し、審美性と咬み合わせのバランスを取ることが、結果的に長持ちする審美治療につながります。
専門的なデジタル設備で治療を見える化
名古屋・なみき通り歯科の予約はこちら
美しさは健康な口元から!MTMと予防歯科で支える審美治療

審美治療によって美しい口元を手に入れても、それを長く維持するためには健康な口腔環境が欠かせません。
「なみき通り歯科」では、審美治療後の人生まで見据えた口腔管理を大切にしています。その軸となっているのが、MTM(メディカルトリートメントモデル)という予防の考え方です。
MTMに基づくオーダーメイド予防が、審美治療の予後を支える
MTM(メディカルトリートメントモデル)とは、虫歯や歯周病のなりやすさを詳しく検査・分析し、結果に基づいたオーダーメイドの予防・治療計画を立てていく方法です。
同院では、治療の有無に関わらず、まずは口の中の状態を丁寧に把握することを重視。CTやレントゲン、口腔内写真、唾液検査などを通じて、現在どのようなリスクが潜んでいるのかを明らかにし、必要なケアや治療の優先順位を患者と一緒に整理していきます。
こうしたプロセスにより、患者自身が治療の必要性やゴールを理解し、納得したうえで治療に進みやすくなるそう。
審美治療においても、単に見た目だけを整えるのではなく、歯磨きのしやすさや咬み合わせ、将来的なトラブルの起こりやすさまで含めて設計することが、自然で長持ちする仕上がりにつながるのです。
MTMに基づいたオーダーメイドの予防管理は、そうした“見えない部分”まで含めて口元の健康と美しさを支えます。
歯周病学会専門医・認定歯科衛生士による専門的ケア
MTMを実践するうえで欠かせないのが、それを支える診療体制。
「なみき通り歯科」には、日本歯科専門医機構認定 歯周病専門医である安藤院長をはじめ、日本歯周病学会認定 歯科衛生士が複数在籍しています。
お口の健康を守るプロフェッショナルがチーム一丸となってサポートするため、質の高い専門的なメンテナンスを継続して提供できるのが大きな特徴です。
審美治療後に同じクリニックで継続して歯の健康を診てもらえる体制があることは、患者にとっても口腔内の変化に早く気づけるというメリットがあります。
「口元をきれいにしたい」という気持ちが、結果的にお口全体の健康への意識を高めるきっかけになるんです。
▽安藤院長へのインタビュー記事はこちら
MTMに基づく審美×予防で叶える!長く続く美しさへ

歯ぐきの炎症や咬み合わせなどの問題を未然に防ぐことは、美しい歯を長持ちさせるうえでとても重要。定期的なメンテナンスで口の中の変化に早く気づくことができれば、トラブルを避けられ、治療後の良い状態を安定的に保てます。
審美治療を単に見た目だけを整える一度きりの治療で終わらせるのではなく、これから先の人生も見据えて育てていく。MTMに基づく予防と審美を組み合わせた診療体制は、そんな考え方を大切にした「なみき通り歯科」ならではのアプローチです。
美しさを長持ちさせるなら、予防歯科まで一緒に
名古屋・なみき通り歯科の予約はこちら
見える診断で納得できる治療選びを!美しさと健康を両立する一歩を踏み出そう
審美歯科を検討するとき、どうしても「どれくらいきれいになるか」と見た目の変化ばかりに目が向きがちです。しかし本当に大切なのは、「なぜその治療が必要なのか」「どこまでを目指すのか」を理解したうえで選択すること。
そして治療を受けて終わりではなく、その先の未来まで見据えた歯科医院と出会うことです。
名古屋にある「なみき通り歯科」では、デジタルによる可視化を通じて治療の見通しを示し、患者と治療のゴールを丁寧にすり合わせながら、審美と予防を両立したオーダーメイドの診療を提供しています。
美しさを整えることはもちろん、歯ぐきや咬み合わせ、口腔環境全体を継続的に管理していく。そんな“人生単位で口元を設計する医療”を重視している点が特徴です。
「年齢を重ねても自分の口元に自信を持ち続けたい!」そう願う方にとって、同院は生涯にわたって頼れるパートナーとなってくれるでしょう。
名古屋で審美も予防も相談できる歯科をお探しなら
なみき通り歯科の予約はこちら
| 施設名・住所 | なみき通り歯科・矯正歯科 愛知県名古屋市南区豊田2丁目2-1 |
| 電話番号 | 052-693-8280 |
| 診療時間 | 月〜水、金~土 9:00〜12:30/14:00~18:30 ※土曜 9:00~17:00 ※木・日・祝は休診 |
| 公式サイト | https://namiki-dental.jp/ |
| SNSアカウント | クリニック公式Instagram @namikidc 安藤 壮吾院長公式Instagram @shogo_dentist |
この記事を読んだあなたにおすすめの関連記事
【施術の内容】歯冠長延長術
【施術期間および回数の目安】通常1回 ※治療内容や口腔内の状態により異なります。
【費用】¥140,000~¥200,000 ※本施術は自由診療(保険適用外)です。
【リスク・副作用等】一時的な知覚過敏など
【未承認医療機器・歯科材料に関する注意事項】
本施術で使用する歯科材料・医療機器の一部は、日本国内において薬事承認を受けていないものを使用する場合があります。
これらは歯科医師の判断のもと、治療目的に応じて選択されています。
国内において、同一の成分・性能を有する承認済み製品が存在しない場合があります。
また、長期的な安全性や有効性について、すべてが確立されていない可能性があります。
